
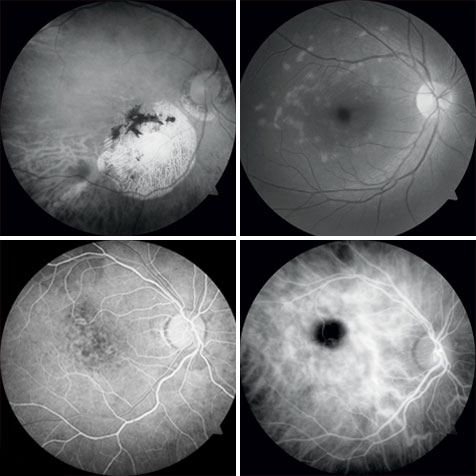
ANGIOGRAFÍA FLUORESCEINICA
En determinados pacientes se requiere realizar esta prueba en la que tras inyectar un contraste (fluoresceína) nos permite analizar la ciruculación retiniana en tiempo real, así como las zonas de la retina en que puede existir un déficit de irrigación (isquemia), o bien vasos anormales (neovasos) de gran valor diagnóstico en pacientes diabéticos.
Nos orienta para decidir determinados tratamientos tales como laserterapia o inyecciones intravítreas en este tipo de pacientes.


